80列マルチスライスCT
Heart clinic - Iwata
0538-39-1111静岡県磐田市見付1819-91
0538(39)1111静岡県磐田市見付1819-91
8:30~12:30/14:00~17:30 (休診 火曜午後 土曜午後 日曜祝日)
80列マルチスライスCT
検査
検査設備
80列MDCT検査 対応部位
睡眠時無呼吸症候群
└ 終夜睡眠ポリグラフ検査
80列マルチスライスCT 検査 画像例
被ばく量が従来の1/2に抑えれられる最新の80列マルチスライスCTを導入しています。
頭部から足・上肢・下肢(整形領域含)の全領域の撮影に対応(造影可)しています。
歯科領域(インプラント術前検査対応)
検査対応部位
検査機器
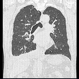
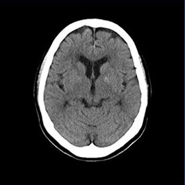
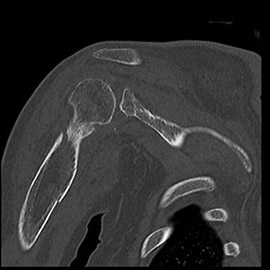
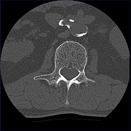
画像例
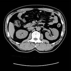
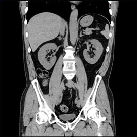
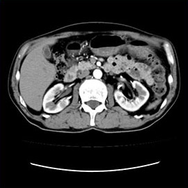
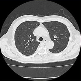
80列マルチスライスCTで撮影した画像
腹部


腹部(造影)


胸部


頭部


整形




整形




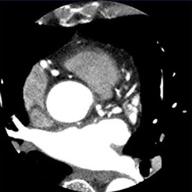
心臓(冠動脈)
主に狭心症や心筋梗塞などの診断




体脂肪計測
1スライスの腹部単純撮影画像から体脂肪面積や皮下脂肪面積を計測し、それぞれの蓄積を観察できます。

▼ 近隣施設先生方からのご依頼を広く受け付けております